Po złamaniu kości wiele osób zadaje sobie kluczowe pytanie: „Kiedy mogę zacząć rehabilitację i jak to zrobić, aby bezpiecznie wrócić do pełnej sprawności?”. Właściwy moment rozpoczęcia terapii jest absolutnie kluczowy dla efektywności leczenia i minimalizacji ryzyka powikłań. W tym artykule, jako doświadczony specjalista, odpowiem na te i inne nurtujące pytania, rozwiewając wątpliwości dotyczące czasu i metod rehabilitacji po różnego rodzaju urazach.
Wczesna rehabilitacja po złamaniu klucz do szybszego powrotu do pełnej sprawności
- Moment rozpoczęcia rehabilitacji zależy od rodzaju złamania i metody leczenia (gips lub operacja), zawsze wymaga zgody lekarza.
- Po operacji rehabilitację można rozpocząć już w 1-2 dobie, by zapobiegać powikłaniom i utrzymywać ruchomość.
- W przypadku gipsu, ćwiczenia izometryczne i ruch wolnych stawów są zalecane już po 2-3 dniach.
- Wczesny start skraca czas rekonwalescencji nawet o 30% i minimalizuje ryzyko trwałych ograniczeń.
- Opóźnienie rehabilitacji może prowadzić do przykurczów, zaników mięśni, przewlekłego bólu i zaburzeń funkcji.
- Pamiętaj o długich terminach oczekiwania na rehabilitację na NFZ i konieczności szybkiej rejestracji skierowania.

Wczesna rehabilitacja po złamaniu: dlaczego jest kluczowa dla powrotu do sprawności?
Wczesne rozpoczęcie rehabilitacji po złamaniu to nie tylko kwestia komfortu, ale przede wszystkim strategiczny element, który znacząco wpływa na proces zdrowienia. Moje doświadczenie pokazuje, że pacjenci, którzy szybko wdrażają odpowiednie ćwiczenia, skracają czas powrotu do pełnej sprawności nawet o 30%. Co więcej, aktywne działanie od samego początku pozwala skutecznie zmniejszyć ryzyko wielu powikłań, takich jak zakrzepica, zaniki mięśniowe, bolesne przykurcze stawowe, niechciane zrosty tkankowe czy przewlekły ból. Nie ma co czekać, bo każdy dzień zwłoki to potencjalnie dłuższa i trudniejsza droga do odzyskania pełnej formy.Zrozum swój uraz: od czego zależy idealny moment na start?
Zawsze podkreślam, że moment rozpoczęcia rehabilitacji jest ściśle uzależniony od kilku kluczowych czynników. Nie ma jednej uniwersalnej zasady, dlatego tak ważne jest indywidualne podejście i ścisła współpraca z lekarzem prowadzącym. To on, znając specyfikę Twojego urazu, podejmie ostateczną decyzję o starcie i intensywności terapii. Kluczowe czynniki to:
- Rodzaj złamania: Czy jest to złamanie proste, czy może bardziej skomplikowane, wieloodłamowe?
- Lokalizacja złamania: Inaczej postępuje się ze złamaniem kości długiej, inaczej z urazem w obrębie stawu.
- Stabilność złamania: Czy kość jest stabilna, czy wymaga dodatkowego unieruchomienia lub zespolenia.
- Metoda leczenia: Czy zastosowano leczenie zachowawcze (gips, orteza) czy operacyjne (płytki, śruby, gwoździe).
- Ogólny stan zdrowia pacjenta: Choroby współistniejące mogą wpływać na proces gojenia i tempo rehabilitacji.

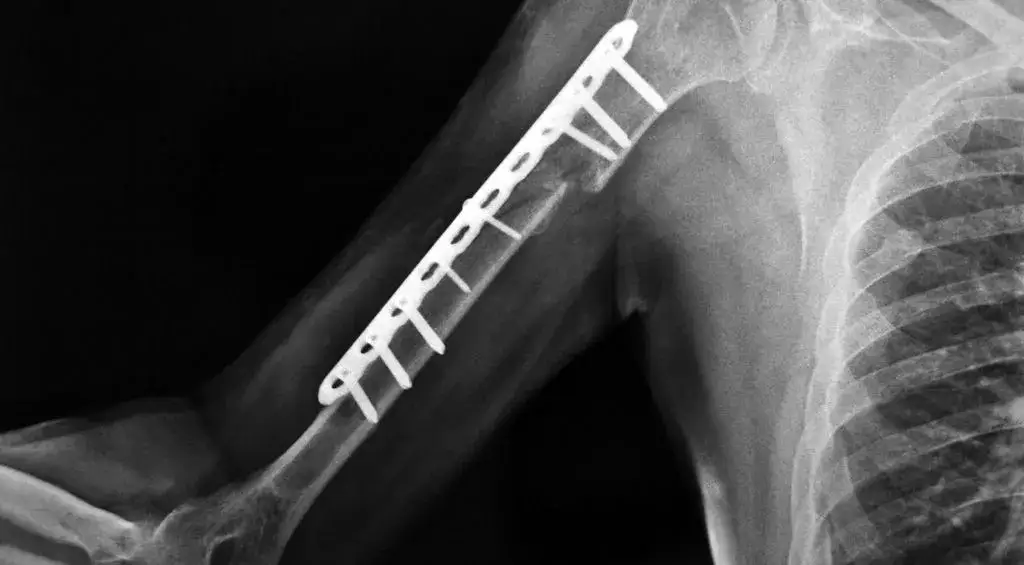
Rehabilitacja po operacji: zacznij działać już w szpitalu
Po leczeniu operacyjnym, kiedy złamanie zostało stabilnie zespolone wewnętrznie (np. za pomocą płytek i śrub), rehabilitację można i wręcz należy rozpocząć bardzo wcześnie. Często zdarza się, że pierwsze ćwiczenia wykonujemy już w pierwszej lub drugiej dobie po zabiegu, jeszcze zanim pacjent opuści szpital. Celem tych wczesnych działań jest przede wszystkim poprawa krążenia, zapobieganie groźnym zakrzepom, minimalizowanie obrzęków i przykurczów, a także utrzymanie zakresu ruchu w stawach sąsiadujących z miejscem operacji, które nie są bezpośrednio unieruchomione.
Pierwsze 48 godzin po operacji: jakie ćwiczenia zleci Ci fizjoterapeuta?
W pierwszych 48 godzinach po operacji fizjoterapeuta skupi się na bezpiecznych, ale niezwykle ważnych ćwiczeniach, które mają za zadanie uruchomić organizm i zapobiec powikłaniom. Oto przykłady:
- Ćwiczenia oddechowe: Głębokie wdechy i wydechy pomagają w wentylacji płuc i zapobiegają komplikacjom oddechowym.
- Delikatne ruchy palcami: Jeśli operowano kończynę górną lub dolną, ruchy palców stóp lub dłoni poprawiają krążenie i zmniejszają obrzęki.
- Napinanie mięśni pośladkowych i brzucha: Ćwiczenia te, wykonywane w leżeniu, poprawiają krążenie w obrębie miednicy i tułowia.
- Ruchy w stawach nieobjętych operacją: Na przykład, po operacji kolana, fizjoterapeuta może zalecić delikatne ruchy w stawie skokowym lub biodrowym.
- Uniesienie kończyny: Utrzymywanie operowanej kończyny w pozycji uniesionej (np. na poduszkach) wspomaga odpływ limfy i redukuje obrzęk.
Rola stabilizacji wewnętrznej: jak płytki i śruby przyspieszają powrót do ruchu?
Stabilizacja wewnętrzna, czyli zastosowanie płytek, śrub, gwoździ czy drutów, to prawdziwy przełom w leczeniu złamań. Dzięki niej odłamki kostne są utrzymywane w anatomicznym położeniu, co nie tylko sprzyja prawidłowemu zrostowi, ale przede wszystkim pozwala na znacznie wcześniejsze i bezpieczniejsze rozpoczęcie ruchu. W przeciwieństwie do leczenia zachowawczego, gdzie gips całkowicie unieruchamia kończynę na długie tygodnie, stabilizacja wewnętrzna daje możliwość kontrolowanego obciążania i mobilizacji, co znacząco skraca czas rekonwalescencji i minimalizuje ryzyko utraty funkcji.
Praca z blizną pooperacyjną: klucz do uniknięcia zrostów i ograniczeń
Blizna pooperacyjna to nie tylko kwestia estetyki. Niewłaściwa praca z nią może prowadzić do powstawania bolesnych zrostów tkankowych, które ograniczają ruchomość stawów i mięśni, a także powodują przewlekły ból. Dlatego tak ważne jest, aby już po zagojeniu się rany rozpocząć delikatne masaże i mobilizacje blizny. Fizjoterapeuta nauczy Cię technik, które pomogą uelastycznić tkanki, zapobiec zrostom i zapewnić prawidłowe przesuwanie się skóry względem głębszych warstw, co jest kluczowe dla pełnego odzyskania funkcji.

Rehabilitacja w gipsie: nie czekaj na jego zdjęcie!
Wielu pacjentów żyje w przekonaniu, że rehabilitacja zaczyna się dopiero w momencie zdjęcia gipsu. Nic bardziej mylnego! To mit, który może kosztować Cię cenne tygodnie powrotu do formy. Jako Filip Kwiatkowski zawsze powtarzam: nie czekaj na zdjęcie unieruchomienia! Specjaliści zalecają rozpoczęcie pewnych form ćwiczeń już 2-3 dni po założeniu gipsu. Wczesna aktywność, nawet w unieruchomieniu, jest kluczowa dla utrzymania kondycji mięśni i stawów, które nie są bezpośrednio objęte urazem.
Już w pierwszych dniach: jak bezpiecznie ćwiczyć w unieruchomieniu?
Nawet z gipsem można, a nawet trzeba, wykonywać pewne ćwiczenia. Oczywiście, zawsze po konsultacji i pod okiem fizjoterapeuty. Oto, co zazwyczaj zalecamy:
- Ćwiczenia izometryczne: To napinanie mięśni pod gipsem bez poruszania stawem. Są niezwykle skuteczne w zapobieganiu zanikom mięśniowym.
- Ćwiczenia czynne wolnych stawów: Skupiamy się na stawach, które nie są unieruchomione. Na przykład, przy złamaniu podudzia w gipsie, możesz swobodnie poruszać palcami u stóp, a także wykonywać ruchy w stawie biodrowym. Przy złamaniu przedramienia, ćwicz palce dłoni i staw barkowy.
- Ćwiczenia kończyny zdrowej: Aktywność fizyczna drugiej, zdrowej kończyny również wpływa pozytywnie na cały organizm, poprawia krążenie i utrzymuje ogólną kondycję.
- Ćwiczenia oddechowe: Nawet w gipsie warto pamiętać o głębokich wdechach i wydechach, które poprawiają wentylację płuc.
Ćwiczenia izometryczne: tajna broń w walce z zanikiem mięśni pod gipsem
Ćwiczenia izometryczne to prawdziwy game changer w rehabilitacji w gipsie. Polegają one na napinaniu mięśni pod unieruchomieniem, bez faktycznego ruchu w stawie. Wyobraź sobie, że próbujesz zgiąć rękę w łokciu, ale gips Ci na to nie pozwala to właśnie jest skurcz izometryczny. Dzięki temu mięśnie pracują, utrzymują swoje napięcie i siłę, a co najważniejsze nie dochodzi do ich szybkiego zaniku. Regularne wykonywanie tych prostych ćwiczeń, nawet przez kilka minut dziennie, może znacząco skrócić czas odbudowy siły mięśniowej po zdjęciu gipsu.Nie zapominaj o sąsiadach: jak ruch wolnymi stawami ratuje Twoją sprawność?
Kiedy jedna część ciała jest unieruchomiona, łatwo zapomnieć o reszcie. Tymczasem utrzymywanie ruchomości w stawach "sąsiednich", czyli tych, które nie są objęte gipsem, jest niezwykle ważne. Na przykład, jeśli masz złamaną kostkę i unieruchomioną nogę, regularne ruchy w stawie kolanowym i biodrowym pomogą zapobiec ich sztywności i osłabieniu mięśni. To samo dotyczy ręki jeśli masz gips na przedramieniu, ćwicz palce, nadgarstek (jeśli to możliwe) i bark. Dzięki temu, po zdjęciu gipsu, będziesz miał mniej pracy z odzyskiwaniem pełnej sprawności w całym segmencie kończyny.
Pole magnetyczne: czy fizykoterapia może działać przez gips?
Tak, to prawda! Niektóre zabiegi fizykoterapeutyczne, takie jak pole magnetyczne, mogą być stosowane przez gips. Fale pola magnetycznego przenikają przez materiał unieruchamiający i docierają do miejsca złamania. Ich działanie polega na przyspieszaniu procesów regeneracyjnych w tkankach, stymulowaniu zrostu kostnego, a także zmniejszaniu bólu i obrzęków. To doskonałe uzupełnienie ćwiczeń w okresie unieruchomienia, które wspiera naturalne procesy gojenia.
Po zdjęciu gipsu: plan działania na powrót do formy
Zdjęcie gipsu to dla wielu pacjentów moment ulgi, ale też początek intensywnej pracy. Druga faza rehabilitacji koncentruje się na odzyskaniu pełnego zakresu ruchu w stawie, odbudowie siły mięśniowej, która uległa osłabieniu, oraz reedukacji funkcji na przykład nauce prawidłowego chodu po złamaniu nogi. To etap, który wymaga cierpliwości, konsekwencji i ścisłej współpracy z fizjoterapeutą, aby krok po kroku wracać do pełnej sprawności.
Pierwsze godziny bez unieruchomienia: czego się spodziewać i jak postępować?
Po zdjęciu gipsu możesz poczuć się dziwnie. To normalne. Kończyna będzie prawdopodobnie sztywna, osłabiona, a skóra może być sucha i łuszcząca się. Możesz odczuwać dyskomfort, a nawet lekki ból przy próbie ruchu. Nie panikuj! To naturalne reakcje organizmu po długim unieruchomieniu. Pierwsze kroki to delikatne umycie i nawilżenie skóry, a następnie bardzo ostrożne, bierne i czynne ruchy w stawie, zawsze w granicach bólu. Pamiętaj, aby nie forsować niczego na siłę i jak najszybciej skonsultować się z fizjoterapeutą, który pokaże Ci bezpieczne ćwiczenia.
Odbudowa zakresu ruchu: jak walczyć ze sztywnością stawów?
Sztywność stawów po unieruchomieniu to jeden z największych problemów. Aby ją pokonać, stosujemy różnorodne metody:
- Delikatne rozciąganie: Stopniowe, kontrolowane rozciąganie tkanek wokół stawu, aby przywrócić ich elastyczność.
- Mobilizacje stawów: Specjalistyczne techniki wykonywane przez fizjoterapeutę, mające na celu przywrócenie prawidłowej ruchomości w stawie.
- Ćwiczenia czynne w pełnym zakresie ruchu: Samodzielne wykonywanie ruchów, które stopniowo zwiększają zakres.
- Autoterapia: Fizjoterapeuta nauczy Cię, jak samodzielnie pracować nad zakresem ruchu w domu, np. z użyciem ręcznika czy małej piłki.
- Ciepłe okłady lub kąpiele: Ciepło pomaga rozluźnić mięśnie i zwiększyć elastyczność tkanek, ułatwiając rozciąganie.
Powrót siły mięśniowej: od delikatnych napięć do ćwiczeń z obciążeniem
Odbudowa siły mięśniowej to proces stopniowy. Zaczynamy od bardzo delikatnych napięć mięśniowych, często w odciążeniu, aby nie przeciążać gojącej się kości. Następnie, w miarę postępów i zgody lekarza, wprowadzamy ćwiczenia z oporem własnego ciała, a później z lekkim obciążeniem (np. gumy oporowe, małe ciężarki). Kluczem jest progresja stopniowe zwiększanie intensywności i obciążenia, zawsze pod kontrolą fizjoterapeuty, aby bezpiecznie i efektywnie przywrócić mięśniom ich pierwotną moc.
Nauka od nowa: jak wygląda prawidłowa reedukacja chodu po złamaniu nogi?
Po złamaniu nogi, zwłaszcza długim okresie unieruchomienia, często trzeba nauczyć się chodzić od nowa. Proces reedukacji chodu jest złożony i obejmuje kilka etapów:
- Nauka obciążania kończyny: Początkowo pacjent uczy się delikatnie stawać na chorej nodze, często z pomocą kul lub balkonika, kontrolując ból i reakcję organizmu.
- Korekcja wzorca chodu: Fizjoterapeuta analizuje sposób, w jaki pacjent stawia kroki, koryguje nieprawidłowe nawyki (np. kulejący chód) i uczy prawidłowego przetaczania stopy.
- Wzmacnianie mięśni odpowiedzialnych za chód: Ćwiczenia wzmacniające mięśnie łydek, ud, pośladków i brzucha są kluczowe dla stabilności i siły podczas chodzenia.
- Ćwiczenia równowagi i propriocepcji: Wprowadzane są ćwiczenia na niestabilnym podłożu, z zamkniętymi oczami, aby poprawić czucie głębokie i stabilność.
- Stopniowe odstawianie pomocy ortopedycznych: W miarę postępów, pacjent stopniowo rezygnuje z kul, a następnie z laski, aż do pełnego, samodzielnego chodu.
Konsekwencje zbyt późnej lub zaniechanej rehabilitacji
Zbyt późne wdrożenie rehabilitacji lub, co gorsza, jej całkowite zaniechanie, to prosta droga do poważnych i często nieodwracalnych konsekwencji. Mogą one obejmować trwałe ograniczenia zakresu ruchu, znaczne osłabienie siły mięśniowej, zaburzenia wzorca chodu, a także przewlekłe zespoły bólowe. W skrajnych przypadkach, pacjenci mogą borykać się z trwałą niepełnosprawnością, która znacząco obniża jakość życia i utrudnia codzienne funkcjonowanie. Dlatego tak ważne jest, aby nie lekceważyć tego etapu leczenia.
Przykurcze i ograniczenia ruchomości: czy można je cofnąć?
Przykurcze to skrócenie tkanek miękkich (mięśni, ścięgien, więzadeł) wokół stawu, które prowadzi do trwałego ograniczenia jego ruchomości. Powstają one, gdy staw jest zbyt długo unieruchomiony lub nie jest odpowiednio mobilizowany. Niestety, im dłużej zwlekamy z rehabilitacją, tym trudniej, a czasem wręcz niemożliwe, jest całkowite cofnięcie tych zmian. Intensywna terapia manualna, rozciąganie i ćwiczenia mogą poprawić sytuację, ale pełny zakres ruchu często pozostaje poza zasięgiem. To pokazuje, jak kluczowe jest wczesne działanie.Przewlekły ból i obrzęki: skutki zaniedbań, które zostają na lata
Opóźniona rehabilitacja często prowadzi do przewlekłego bólu i utrzymujących się obrzęków. Brak ruchu i prawidłowej stymulacji tkanek zaburza krążenie krwi i limfy, co sprzyja gromadzeniu się płynu i substancji prozapalnych. To z kolei podtrzymuje stan zapalny i ból, tworząc błędne koło. Przewlekły ból po złamaniu, który staje się częścią codzienności, znacząco obniża komfort życia, utrudnia pracę, sen i wszelkie aktywności. Jest to jedna z najczęstszych i najbardziej uciążliwych konsekwencji zaniedbań w rehabilitacji.
Zaburzenia czucia głębokiego (propriocepcji): dlaczego tracisz równowagę i koordynację?
Propriocepcja, czyli czucie głębokie, to zdolność naszego organizmu do świadomości położenia części ciała w przestrzeni, bez udziału wzroku. Po złamaniu i długim unieruchomieniu, receptory proprioceptywne w stawie i mięśniach często przestają prawidłowo działać. Skutkuje to zaburzeniami równowagi, koordynacji ruchowej i poczuciem niestabilności. Pacjenci mają trudności z chodzeniem po nierównym terenie, potykają się, a co najważniejsze są bardziej narażeni na kolejne upadki i urazy. Reedukacja propriocepcji to kluczowy element rehabilitacji, który często jest niedoceniany.
Profesjonalna rehabilitacja: jak wygląda i co obejmuje?
Profesjonalna rehabilitacja to kompleksowy proces, który ma na celu przywrócenie pacjentowi pełnej sprawności po złamaniu. Obejmuje ona kilka etapów, od wczesnej mobilizacji w unieruchomieniu, przez odzyskiwanie zakresu ruchu i siły, aż po powrót do pełnej aktywności. Cały plan jest indywidualnie dopasowany do potrzeb pacjenta, rodzaju złamania i metody leczenia, a jego podstawą jest ścisła współpraca z doświadczonym fizjoterapeutą.
Rola fizjoterapeuty: dlaczego jego wsparcie jest niezbędne?
Fizjoterapeuta to kluczowa postać w procesie rehabilitacji. To nie tylko osoba, która pokazuje ćwiczenia, ale przede wszystkim ekspert, który ocenia stan pacjenta, tworzy indywidualny plan terapii i monitoruje postępy. Jego wiedza i doświadczenie pozwalają na bezpieczne i efektywne prowadzenie przez wszystkie etapy rekonwalescencji. Fizjoterapeuta potrafi zidentyfikować problemy, zastosować odpowiednie techniki (np. terapię manualną), a także zmotywować i edukować pacjenta, co jest nieocenione w drodze do pełnego zdrowia.
Terapia manualna, kinezyterapia, fizykoterapia: co kryje się za tymi nazwami?
W profesjonalnej rehabilitacji stosujemy różnorodne metody, które wzajemnie się uzupełniają:
- Kinezyterapia: To leczenie ruchem, czyli wszelkie ćwiczenia terapeutyczne, zarówno bierne (wykonywane przez fizjoterapeutę), jak i czynne (wykonywane przez pacjenta). Jest to podstawa każdej rehabilitacji.
- Terapia manualna: Specjalistyczne techniki wykonywane rękami fizjoterapeuty, mające na celu mobilizację stawów, rozluźnianie mięśni, redukcję bólu i przywracanie prawidłowej funkcji tkanek.
-
Fizykoterapia: Wykorzystanie czynników fizycznych w celach leczniczych. Obejmuje m.in.:
- Krioterapia: Leczenie zimnem, redukujące obrzęki i ból.
- Laseroterapia: Przyspiesza regenerację tkanek, działa przeciwbólowo i przeciwzapalnie.
- Pole magnetyczne: Stymuluje zrost kostny, redukuje ból i obrzęki (może być stosowane przez gips).
- Ultradźwięki: Działają przeciwbólowo, przeciwzapalnie i przyspieszają regenerację tkanek.
Wsparcie od wewnątrz: jaka dieta i suplementacja przyspieszają zrost kostny?
Nie zapominajmy, że organizm potrzebuje odpowiednich "cegiełek" do odbudowy. Prawidłowa dieta i celowana suplementacja mogą znacząco wspomóc proces zrostu kostnego i regeneracji tkanek. Kluczowe składniki to przede wszystkim wapń i witamina D, które są niezbędne dla zdrowych kości. Ważne jest także odpowiednie spożycie białka, które stanowi budulec dla wszystkich tkanek, oraz witaminy C i K, które również odgrywają rolę w procesach gojenia. Zawsze warto skonsultować dietę i suplementację z lekarzem lub dietetykiem, aby była ona dopasowana do Twoich indywidualnych potrzeb.
Rehabilitacja na NFZ a prywatna: co warto wiedzieć w Polsce?
W Polsce, korzystając z rehabilitacji w ramach Narodowego Funduszu Zdrowia, musimy liczyć się z pewnymi realiami. Niestety, czasy oczekiwania na zabiegi ambulatoryjne bywają bardzo długie od kilku do nawet kilkunastu miesięcy. To ogromny problem, ponieważ skierowanie na rehabilitację jest ważne tylko przez 30 dni, w ciągu których pacjent musi je zarejestrować w placówce. Długie oczekiwanie na terapię jest istotnym czynnikiem ryzyka powikłań po złamaniu i może znacząco pogorszyć rokowania.
Skierowanie i terminy: jak długie oczekiwanie wpływa na efekty leczenia?
Skierowanie na rehabilitację ambulatoryjną na NFZ jest Twoją przepustką do bezpłatnej terapii, ale jego krótka ważność (30 dni) w połączeniu z długimi kolejkami to prawdziwe wyzwanie. Jeśli nie zarejestrujesz skierowania w terminie, musisz postarać się o nowe. Co gorsza, nawet po zarejestrowaniu, miesiące oczekiwania mogą zniweczyć efekty wczesnej interwencji. Stawy sztywnieją, mięśnie zanikają, a ból się utrwala. To czas, którego nie da się cofnąć, a każde opóźnienie negatywnie wpływa na ostateczny wynik leczenia i może prowadzić do trwałych ograniczeń.
Przeczytaj również: Rehabilitacja ambulatoryjna: Jak działa i jak skorzystać z NFZ?
Jak nie stracić cennego czasu, czekając w kolejce do specjalisty?
Długie terminy oczekiwania na rehabilitację na NFZ nie oznaczają, że musisz siedzieć bezczynnie. Oto kilka praktycznych wskazówek, jak możesz działać:
- Zarejestruj skierowanie jak najszybciej: Nie czekaj do ostatniego dnia ważności skierowania. Im szybciej je złożysz, tym szybciej znajdziesz się w kolejce.
- Poszukaj alternatywnych placówek: Sprawdź kilka placówek oferujących rehabilitację na NFZ. Czasem w mniejszych miastach lub mniej popularnych ośrodkach terminy są krótsze.
- Ćwiczenia domowe: Poproś fizjoterapeutę o zestaw bezpiecznych ćwiczeń, które możesz wykonywać samodzielnie w domu, czekając na wizytę. To podstawa, aby nie dopuścić do dalszych zaników i przykurczów.
- Konsultacje prywatne: Jeśli masz taką możliwość, rozważ kilka prywatnych wizyt u fizjoterapeuty. Nawet kilka sesji może dać Ci cenne wskazówki i przyspieszyć proces.
- Aktywność ogólna: Utrzymuj aktywność fizyczną w zdrowych częściach ciała. Spaceruj, wykonuj lekkie ćwiczenia, aby poprawić krążenie i ogólną kondycję.
